• Zum Hauptinhalt springen
  • Zum Footer springen

Lungentumorz...

  • Über uns
    • Was uns auszeichnet
    • Team
    • Netzwerk und Partner
    • Spenden
    • Zertifikate und Mitgliedschaften
  • Patientenportal
    • Schwerpunkte
    • Sprechstunden
    • Beratung
    • Zweitmeinung
    • Selbsthilfegruppen und Initiativen
    • Lungenkrebsfrüherkennung am LMU-Klinikum
  • Fach- & Arztinfos
    • Leitlinien
  • Forschung & Lehre
    • Forschungsschwerpunkte
    • Studien
      • Studienzentrale
    • Lehre
  • Veranstaltungen, News & Media
  • Kontakt & Anfahrt
    • Kontaktformular
  1. Startseite
  2. Patientenportal
  3. Lungenkrebsfrüherkennung am LMU-Klinikum

Lungenkrebsfrüherkennung am LMU-Klinikum

Das LMU Klinikum bietet Ihnen als Patient*innen und Zuweiser*innen mit seinem Lungenkrebs-Screening Programm eine strukturierte und neue Möglichkeit zur Krebsfrüherkennung. Mit einer speziellen, strahlenarmen Computertomographie (Low-Dose-CT) können selbst kleine Veränderungen in der Lunge erkannt werden, noch lange bevor Beschwerden auftreten. So kann frühzeitig und gezielt eine Abklärung und ggf. auch eine Therapie eingeleitet werden. Das Angebot richtet sich primär an all jene Menschen in unserer Bevölkerung, die durch Rauchen zur Risikogruppe gehören.

Vorteile der Lungenkrebsfrüherkennung

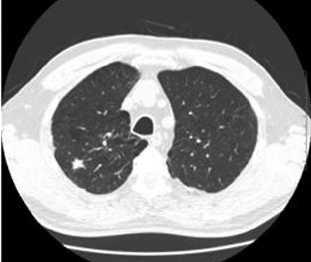
Rundherd

Lungenkrebs wird zumeist spät entdeckt – und dann ist eine Heilung oft nicht mehr möglich. Mehrere große internationale Studien konnten zeigen, dass eine strukturierte Früherkennung mittels Niedrig-Dosis-Computertomographie für Personen mit hohem Risiko (strake Raucher) die Lungenkrebsspezifische Sterblichkeit um etwa 20% senken kann. Basierend auf diesen Erkenntnissen wurde im April 2026 die Lungenkrebsfrüherkennung mittels Niedrig-Dosis-CT in den Leistungskatalog der gesetzlichen Krankenkassen aufgenommen. D.h. die Kosten für das Screening übernehmen die Krankenkassen. Das Institut für Qualität und Wirtschaftlichkeit im Gesundheitswesen (IQWIG) sowie der gemeinsame Bundesausschuss (G-BA) empfehlen die Durchführung der Lungenkrebs-Früherkennung.

Für wen ist die Lungenkrebsfrüherkennung geeignet?

Prüfen Sie mit dieser Checkliste, ob Sie zur Risikogruppe gehören und am Lungenkrebs-Screening teilnehmen können!


Wenn Sie sich unsicher sind, ob sie zur Teilnahme in Frage kommen, sprechen Sie mit Ihrer Hausärztin, Ihrem Hausarzt oder nehmen Sie mit uns gerne Kontakt auf.


Checkliste Teilnahme Lungenkrebsscreening
  • Oder alternativ Packungsjahre hier online berechnen:

Ablauf der Lungenkrebs-Früherkennung am LMU Klinikum

Am LMU Klinikum erhalten Sie alles aus einer Hand: von der ersten Beratung über die präzise Diagnostik bis hin zur möglichen Behandlung. Unsere Patient*innen profitieren von universitären Spitzenmedizinern mit langjähriger Erfahrung im Bereich der thorakalen Onkologie. Wir sind akkreditiert als Erst- und Zweitbefunder.

Am LMU Klinikum stehen Ihnen modernste CT-Bildgebung mit besonders geringer Strahlenbelastung (Low-Dose-CT) und höchster Auflösung zur Verfügung.

Die in der Früherkennung und Therapie tätigen Teams am Lungenkrebszentrum arbeiten interdisziplinär zusammen – Radiologie, Pneumologie und Thoraxchirurgie stimmen sich eng miteinander ab. So ist sichergestellt, dass jede Untersuchung auf technisch auf höchstem Niveau erfolgt.

Team des Lun
Stephan Beissner
Team LTZ LMU

Ablauf des Screenings

  • Vorgespräch mit einer zertifizierten Ärztin oder Arzt: In dem persönlichen Termin wird Ihre individuelle Risikosituation geprüft.
  • Bei Vorliegen des relevanten Risikoprofils wird eine Niedrig-Dosis-CT Untersuchung durchgeführt. Diese dauert nur wenige Minuten und benötigt kein Kontrastmittel.
  • Die CT-Bilder werden von speziell geschulten Radiolog*innen sowie zusätzlich von einer KI-Software ausgewertet.
  • Innerhalb von 2 Wochen werden Ihnen die Ergebnisse mitgeteilt.
  • Bei kontroll- oder abklärungsbedürftigen Befunden wir Sie unser Team aus Spezialisten direkt über das weitere Vorgehen beraten.

Sie haben Fragen? - Nehmen Sie gerne Kontakt mit uns auf

Lungentumorzentrum LMU Klinikum

089-4400-52550/ -73071
öuifvüäüxlivim-ful+vfiuyziu mi

Lungentumorzentrum München – Kooperation des LMU Klinikums und der Asklepios Lungenklinik Gauting am CCC MünchenLMU

Leitung

Prof. Dr. med. Amanda Tufman M.D. (LMU Klinikum) |  Prof. Dr. med. Niels Reinmuth (Asklepios Lungenklinik)

Standort LMU Innenstadt

Ziemssenstraße 1-5
80336 München
089-4400-52590
Zuweiser-Handy: 0152 5492 4226
089-4400-54905
öuifvüäüxalDivimtful_vfiuyziu mi
Lungentumorzentrum München

Standort LMU Großhadern

Marchinoninistraße 15
81377 München
089-4400-73071
Zuweiser-Handy: 0152 5492 4226
öWuifvüäüJxlivim-fulh;vfiuyzJiu-mi
Lungentumorzentrum München

Standort Asklepios Lungenklinik Gauting

Zertifizierte Mesotheliomeinheit (Leiter: Prof. Dr. Niels Reinmuth)

Robert-Koch-Allee 2
82131 Gauting
089-85791-0
Lungentumorzentrum München
Anmeldung für Redakteure
Impressum | Datenschutz | Barrierefreiheitserklärung
2026 © Asklepios Lungenklinik Gauting / LMU Klinikum / CCC München LMU